
表参道歯科アールズクリニック
歯科医療の本質を実践する完全貸切の歯科医院
院長:元山王病院歯科医長・東京医科歯科大学卒
表参道駅A2出口より徒歩1分
1日4名限定・完全貸切
当院について
当院は、咬合・歯周・審美修復を統合的に診療する、治療の質に特化した歯科医院です。
歯科医療には、咬合(噛み合わせ)、歯周組織(歯を支える組織)、審美修復(歯の見た目と機能の回復)という3つの中心的な領域があります。
咬合とは、上下の歯がどう噛み合うかという接触の関係に加えて、顎を動かしたときの動き全体、咀嚼に関わる筋肉、顎関節までを含めた、機能の構造を指します。「咬み合わせ」と聞くと「歯並び」を想像される方が多いと思います。当院が扱う咬合は、歯並び(歯の配列)の問題ではありません。
歯周組織とは、歯を支える歯ぐきと骨を指します。これを健康な状態に保つことは、歯と治療した歯(クラウンなど)が長期にわたって機能するための基盤です。
審美修復とは、治療において「まるで何事もなかったかのように」「顔立ちに溶け込んで」健康に機能させることを指します。これは咬合・歯周組織と不可分に結びついて成立するものであり、独立したものではありません。
三者に優先順位はなく、同時に成立して初めて、歯科治療は完結します。
当院は、3つの領域を統合的に実践することを臨床哲学の核に据えています。
治療を終えた後
鏡を見るときに、もう前歯のことを考えなくなる。
写真を撮るときに、笑顔を躊躇しなくなる。
会話の中で、口元を意識する時間が減る。
歯のことを、忘れている時間が増える。
それは、劇的な変化ではありません。日常の中の、静かな変化です。
歯が、その人の一部として馴染んでいく。治療したことを、思い出さなくなる。
これが、当院の目指す治療の到達点です。
治療したところが「歯」として、患者さんの口元・顔貌・人格と一体化したときに、初めて成立する状態です。
そして、その状態が、10年・20年・30年と続いていく。これが、長期予後を見据えた治療の意味です。
院長について

院長田中良一
元 山王病院歯科医長
東京医科歯科大学(現 東京科学大学)歯学部卒業
1990年代に、一冊の本に出会いました。『歯周組織と咬合を考慮したクラウン・ブリッジの臨床』。補綴治療を、表層の見た目ではなく、咬合と歯周組織という二つの基盤から論じた古典的名著です。この本との出会いが、その後の臨床の基盤になりました。
その後、日本で開催された講演で、Gerard J. Chiche教授による「審美補綴」の体系的な講演を受講しました。Chicheは『Esthetics of Anterior Fixed Prosthodontics』(1994)の著者として、世界の審美補綴学を体系化した臨床家の一人です。
院長が学んだ講演は、すべて世界で通用するトップレベルの臨床家によるものです。歯周病学では、スウェーデン・イエテボリ大学のJan Lindhe教授の講演を受講しました。Lindheは『Clinical Periodontology and Implant Dentistry』の著者として、世界の歯周病学・インプラント学の基礎を築いた臨床家です。
これら以外にも、補綴学・審美補綴学・Periodontology(歯周病学)・Implantology(インプラント学)の領域で、日米で開催された多数のセミナーに参加し、世界トップレベルの臨床家から学んできました。
山王病院歯科医長就任を契機に、ヨーロッパに源流を持つ世界的なセラミスト(セラミック専門の歯科技工士)グループに所属するセラミストとの連携で診療しています。
自由診療について
医科と歯科では、「標準医療」の意味が根本的に異なります。
医科では、標準医療とは保険医療を指します。エビデンスやガイドラインに基づく標準療法が保険適用されています。医科における自由診療は、先進医療や美容目的の治療など、保険外の限定的な範囲を指します。
歯科では事情が異なります。本来の歯科医療の標準は、保険制度の枠内では実現できません。なぜなら、保険診療には多くの制約があるからです。
制約のもとでは、咬合・歯周・審美修復の3つの領域を統合的に実践することはできません。
当院が自由診療を選んでいるのは、本来の歯科医療を妥協なく実現するためです。特別なオプションでも、贅沢な選択肢でもありません。歯科医療を誠実に実践するための、唯一の枠組みとしての自由診療です。
当院の診療体制
歯科医療は、本質的に Sur-Mesure(フランス語で「特注」)の構造を持ちます。被せもの(補綴物)は患者さんの口腔内に合わせて個別に製作され、咬合は顎の運動に合わせて構築され、形態・色調は顔貌に合わせて再現されます。これは規格品の組み立てではありません。
当院は、本来の歯科医療の Sur-Mesure 性を維持するために、以下の方針で診療を行います。
- 1日に診療する患者さんは最大4名です。完全予約制(完全貸切)で、診療中に他の患者さんが同時に診療室にいることはありません。1人あたりの診療時間は2〜4時間頂戴しています。
- 咬合の精密な構築、歯周組織への配慮、仮歯での検証、最終装着の精度など、これらをすべて遂行すると、1人あたり2〜4時間が必要です。1日8時間で診られるのは、最大4名となります。
- すべての施術を院長自身が担当します。歯科衛生士・歯科助手と分担・交代しながらの治療は致しません。
精密な支台歯形成や接着修復には、医師の極限の集中力が不可欠です。当院が完全貸切制を貫くのは、おもてなしのためではありません。一分一秒たりとも思考を中断させないことが、30年持たせることを目標とした治療の最低条件だからです。
セラミスト(セラミック専門の歯科技工士)との連携
歯科医療では、歯科医師だけでは完結しません。最終的に「歯」を創るのは、歯科技工士です。
院長が0.01mmの精度で構造を整え、セラミストが一本の歯を手作業で創り上げる。この役割分担が、歯科治療の質を決定します。
当院は、ヨーロッパに源流を持つ世界的なセラミストグループに所属するセラミストと連携して診療しています。

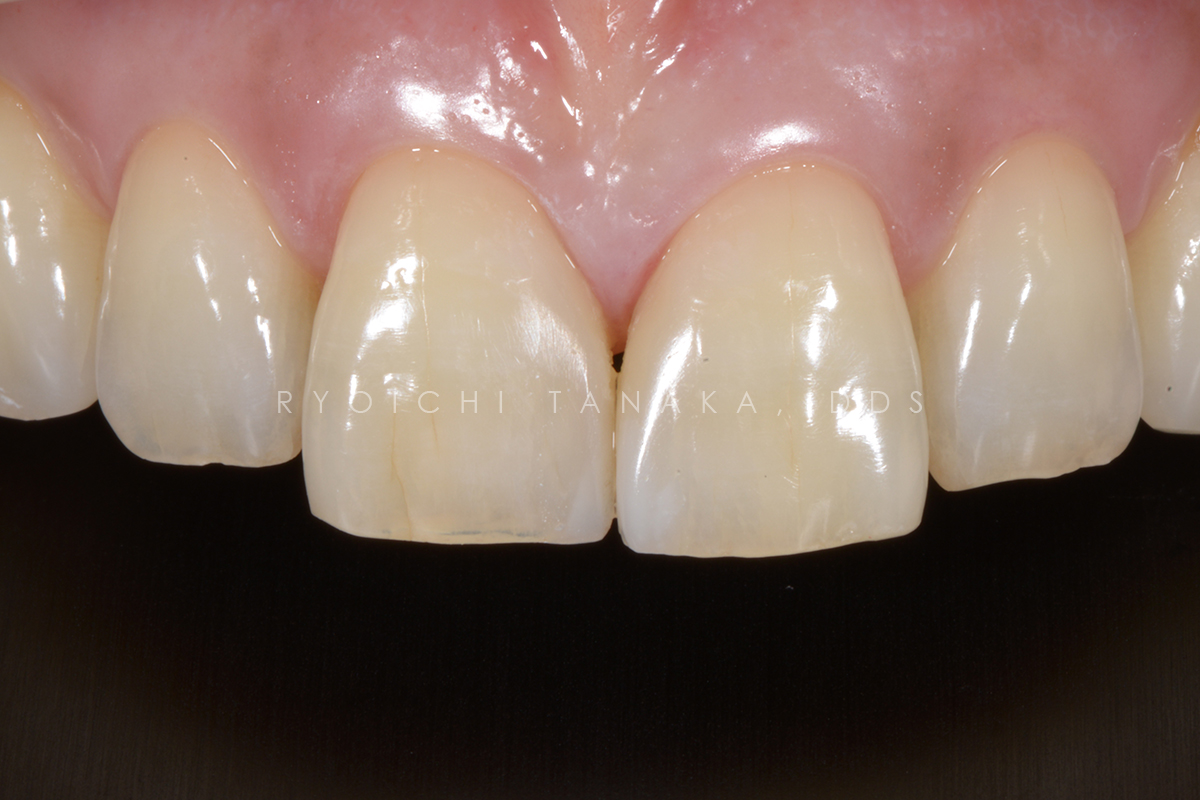
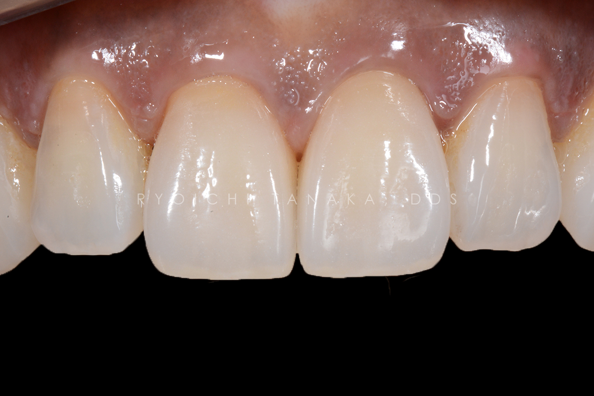
CAD/CAMで機械削り出しされたフルジルコニアクラウンは、口の外で単体で見ると、均一な白さで「綺麗」に見えます。手作業で製作されたポーセレンクラウンは複雑な色調のため、いわゆる「綺麗」には見えません。しかし、口腔内にセットした瞬間に逆転します。フルジルコニアクラウンは人工物として浮き上がり、多色築成のポーセレンクラウンは顔立ちに溶け込んで「人工物であることを忘れさせる」状態を作ります。
本物の美しさは、全体との関係性の中にあります。
Fluorescence
天然の歯は、光の下で独特の蛍光を発します。明るい場所でも暗い場所でも、不自然にならないように、この性質まで再現する陶材を使っています。
Layer Structure
当院のポーセレンクラウンは多色築盛という手法で製作されます。多色築盛とは、天然歯の色調に近似させるために陶材を一層ずつ積み上げる技法です。光の屈折や透過まで計算して築盛します。手作業でしか辿り着けない仕上がりです。
Harmony
一本の歯だけを見て美しくしても意味がありません。歯肉との境界、隣の歯との連続性。口元全体の調和を目指します。
診療環境
診療環境において、当院が重視するのは、診療の本質に関わる要素です。
VITA LITE
自然光に近いスペクトラムの照明です。歯の色を判定する際、光源の質が判定の精度を決定します。通常の蛍光灯やLED照明では、色温度や演色性に偏りがあり、歯科技工士との色調情報の共有に齟齬が生じます。VITA LITEのもとで判定された色調は、技工所での製作環境と一致するため、診療室と技工所の間で色調情報が正確に伝達されます。
KaVo Estetica E70/E70 Vision 診療ユニット
ドイツ製のチェアユニットです。当院がこの機器を選んでいるのは、二つの理由からです。
一つは、駆動の機械精度です。歯の形成や調整は、極めて微細な動作で行われます。チェアユニットの駆動精度・安定性が低ければ、施術の精度そのものが損なわれます。
もう一つは、水回路の衛生管理です。歯科治療で使用する水は、口腔内に直接触れるものです。KaVo Estetica E70は、水回路の自動洗浄・滅菌機構を備え、水の衛生品質を構造的に維持します。
これらは、診療の質を支える、本質的な機能です。

治療の進め方
当院の治療は、短期間の処置ではなく、長期予後を見据えた治療です。初日で処置を行うことはなく、診断・計画・基盤整備・検証のプロセスを省略せずに進めます。
Phase 1 ── 診断と治療計画
口腔内の全体像を分析し、当院の治療が適応するかを慎重に判断します。
初診( 治療適応診査 )
問診・視診・歯周検査・咬合確認・レントゲン撮影など。当日、処置は行いません。
所要時間:60分 / 初診料:11,000円(税込)
精密検査・総合診断 (第2日目)
咬合記録・顔貌バランスの精査・頭部X線規格写真撮影など。不具合の原因・治療範囲・順序・期間・費用総額を確定します。
治療計画説明(第3日目)
検査結果に基づき、口元全体の調和を考慮した計画をご提案します。すべてにご納得いただいてから治療に入ります。
所要時間:60分 / 検査料に含みます
Phase 2 ── 口腔環境の整備
補綴物を長期に安定させるため、歯周組織・骨・歯列の基盤を整えます。歯周外科・骨造成・部分矯正が必要な場合、この段階で実施します。(すべての症例で必要となるわけではありません)
Phase 3 ── 再構築
仮歯による検証を経て、セラミストとの共作で最終的な補綴物を装着します。すべての工程を院長が一貫して担当し、咬合・歯周・顔貌への調和を統合します。
※ 複雑に崩壊した症例では、日本歯科大学インプラント科と連携し、元教授による外科的アプローチを組み合わせる場合があります。
治療費について
治療費用は治療計画立案後に詳しくご説明しています。標準症例における基本治療費は下記をご参照ください。難症例では、必要時間・工程の複雑さ・セラミスト連携の程度に応じて追加調整させていただいております。
ポーセレンクラウン(前歯・小臼歯)
以下を含みます:支台歯形成/印象・咬合採得/接着手技/院長製作の仮歯/セラミスト製作のプロビジョナルレストレーション(精密仮歯)/セラミスト製作のポーセレンクラウン
¥550,000(税込)
フルカントゥアジルコニアクラウン(大臼歯・小臼歯)
以下を含みます:支台歯形成/印象・咬合採得/接着手技/院長製作の仮歯/セラミスト製作のフルカントゥアジルコニアクラウン
¥330,000(税込)
ダイレクトボンディング
コンポジットレジンを用い、直接歯に接着築盛した修復
¥110,000(税込)
